imagen index

“Calidad, Calidez y Confianza”

Consulta Médica Especializada,
Neurocirugía,
Cirugía de Base de Cráneo,
Neuroendoscopía,
Cirugía de Columna Vertebral.

 

Foto
Cirugía de columna
Foto
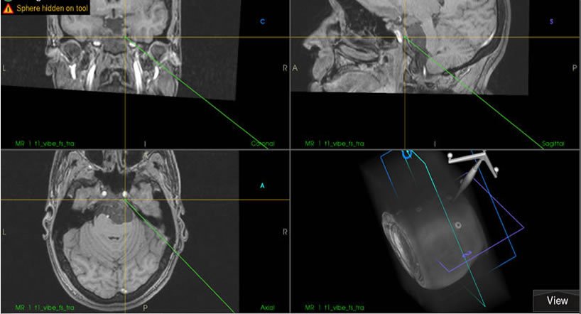
Estereotaxia
Foto
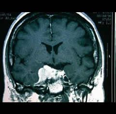
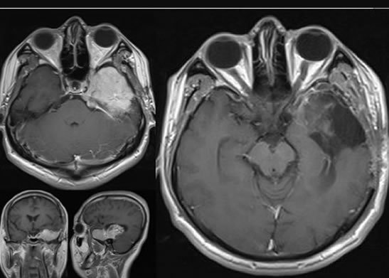
Tumores
cerebrales
Foto
Neuronavegación
Foto
Cirugía de
Base de Cráneo
Foto
Mínima Invasión



los angeles

HOSPITAL ÁNGELES  DEL PEDREGAL
Camino a Santa Teresa No. 1055
Torre Ángeles Consultorio 822
Col. Héroes de Padierna Del. Magdalena Contreras
Ciudad de México.  C.P. 10700
Tel dir. 5568-8012




sanagustin

CONSULTORIO PARTICULAR
Cádiz Sur No. 29, Consultorio 101  
Col. Insurgentes Mixcoac
Del. Benito Juárez
Ciudad de México.  C.P. 03920
Tel. 5563-3883, 2455-4477





sanagustin

SANATORIO SAN AGUSTÍN
Av Ermita Iztapalapa No 272 y 268
Col. Sinatel
Delegación Iztapalapa
Ciudad de México.  C.P. 09470
Cerca del cruce con circuito interior
Tel.  56742100, 56742814, 56742250